Schwarzer Zahnstein: Ursachen, Behandlung und Prävention


Geschrieben und geprüft von der Zahnärztin Vanesa Evangelina Buffa
Viele Bakterien und Ablagerungen können sich auf den Zähnen ansammeln, wenn man keine richtige Mundhygiene betreibt. In diesem Artikel erklären wir dir, was Zahnstein ist und welche Ursachen schwarzer Zahnstein hat.
Wenn schwarzer Zahnstein auf deinen Zähnen und dem Zahnfleisch sichtbar wird, beeinträchtigt dies nicht nur die optische Wirkung deines Lächelns. Darüber hinaus kann er auch zu oralen Krankheiten wie Gingivitis und Parodontitis führen.
Wenn schwarzer Zahnstein auftritt, musst du ihn daher unbedingt entfernen lassen. Die Entfernung dieser Ablagerungen erhält die Gesundheit und verbessert die Ästhetik. Allerdings ist hierfür der Eingriff eines Zahnarztes/einer Zahnärztin notwendig.
Was ist Zahnstein?
Wenn Bakterien, Speisereste und Rückstände im Mund bei der Zahnpflege nicht richtig entfernt werden, lagern sie sich auf der Mundoberfläche ab. Dadurch entsteht ein klebriger Film, der als Plaque bezeichnet wird.
Wenn man die Plaque nicht regelmäßig durch Zähneputzen und Zahnseide entfernt, lagert sie sich weiter auf Zähnen und Zahnfleisch ab. Mit der Zeit verkalken die Mineralien im Mund und verhärten diesen Film. In der Folge entsteht das, was wir als Zahnstein oder Konkremente kennen.
Die Geschwindigkeit, mit der sich bakterieller Zahnbelag verhärten kann, ist von Mensch zu Mensch unterschiedlich und kann sich sogar bei ein und derselben Person in verschiedenen Lebensabschnitten ändern. Im Allgemeinen beträgt die durchschnittliche Verkalkungszeit jedoch 10 bis 12 Tage.
Faktoren wie die Art des Zahns, der pH-Wert des Speichels und die Menge an Kalzium, Phosphor und anderen Substanzen im Speichel haben einen Einfluss auf die Zahnsteinbildung. Darüber hinaus spielen auch die Mundhygienegewohnheiten, der Zugang zur Zahnpflege, die Zeit seit der letzten Zahnreinigung, systemische Krankheiten, die Einnahme bestimmter Medikamente, die Ernährung und das Alter des Patienten eine Rolle.
Zahnstein entsteht durch die Mineralisierung von bakteriellem Zahnbelag. Allerdings hat er eine andere Textur und Konsistenz und ist nicht so leicht zu entfernen. Daher reichen Bürsten und Zahnseide nicht aus, um ihn zu beseitigen.
Die Farbe des Zahnsteins
Die Farbe des Zahnsteins hängt weitgehend davon ab, wie alt er ist und wo er sich befindet. Die häufigsten Stellen, an denen sich bakterieller Zahnbelag zu verhärten beginnt, liegen in der Nähe der Kanäle, durch die der Speichel den Mund verlässt. Das ist an der Innenseite der unteren Schneidezähne und an der Außenseite der Backenzähne.
Wenn er sich gerade erst gebildet hat und oberhalb des Zahnfleischsaums liegt, ist der Zahnstein heller. In diesen Fällen bezeichnet man ihn als supragingivalen Zahnstein. Er hat eine gelbe oder hellbraune Farbe.
Wenn der Zahnstein älter ist und sich angesammelt hat, lagert er sich häufig unter dem Zahnfleisch ab. Hierbei handelt es sich um den sogenannten subgingivalen Zahnstein.
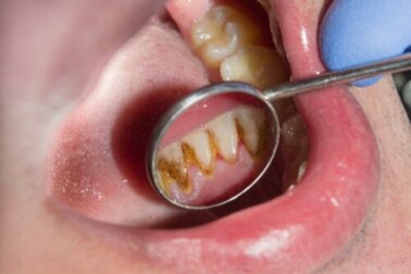
Subgingivaler Zahnstein und Ablagerungen, die lange Zeit im Mund waren, werden dunkel. Daher können sie braun, schwarz oder grünlich erscheinen.
Warum wird Zahnstein schwarz?
Die Zusammensetzung von schwarzem Zahnstein ist die gleiche wie die der helleren Varianten. Allerdings enthält er auch andere Bestandteile, die aus nahegelegenen Flüssigkeiten stammen.
Neben abgestorbenen Bakterien und mineralisierten Speichelproteinen ist der Zahnstein also auch folgenden Faktoren ausgesetzt:
- Blut und blutige Nebenprodukte: Entzündetes Zahnfleisch, das blutet, prädisponiert den Zahnstein für den Kontakt mit hämatologischen Substanzen, die dazu führen, dass er sich verdunkelt. Wenn sich der Zahnstein unterhalb des Zahnfleischsaums befindet, ist die dunkle Pigmentierung mit Blut auffälliger.
- Gingivale Crevikularflüssigkeit: Dies ist eine Flüssigkeit, die vom Bindegewebe ausgeschieden wird und bei bakterieller Plaque und Zahnfleischentzündung zunimmt.
- Externe Substanzen: Der Kontakt mit externen Substanzen, die in den Mund gelangen, kann die Verfärbung und Pigmentierung des Zahnsteins begünstigen. Daher kann schwarzer Zahnstein auch auf den häufigen Konsum von dunklen Getränken wie Kaffee oder Rotwein und auf den Konsum von Tabak zurückzuführen sein.
Allerdings solltest du wissen, dass neben all diesen Faktoren im Grunde alle Formen von Zahnstein mit der Zeit dunkler werden und an Größe zunehmen.

Schwarzer Zahnstein und die damit verbundenen Komplikationen
Schwarzer Zahnstein und Plaque im Mund haben negative Folgen für die Mundgesundheit. Beide wirken reizend auf das Zahnfleisch und begünstigen dessen Entzündung und das Auftreten von Zahnfleischentzündungen. Das Zahnfleischgewebe ist dann geschwollen, schmerzhaft, rot und blutet leicht.
Wenn eine Gingivitis nicht rechtzeitig behandelt wird, kann sie sich zu einer Parodontitis weiterentwickeln. Dieser Zustand ist viel ernster. Denn durch die Entzündung und Infektion wird das Gewebe, das die Zähne stützt, stark angegriffen. Dies kann zu Zahnbewegungen und sogar zu Zahnverlust führen.
Wenn sich schwarzer Zahnstein unter dem Zahnfleisch, zwischen dem Zahnfleisch und dem Zahn ansammelt, begünstigt er die Anwesenheit und Ansammlung schädlicher Bakterien. Dies begünstigt die Entwicklung von Infektionen und Eiter in den Zahnfleischtaschen.
Parodontitis ist ebenfalls ein Risikofaktor für die allgemeine Gesundheit. Tatsächlich wird dieser Zustand des Mundes mit Komplikationen wie Diabetes, Herz- und Atemwegserkrankungen in Verbindung gebracht.
Infolgedessen wirkt sich schwarzer Zahnstein nicht nur auf die Mundhöhle aus, sondern hat Auswirkungen auf den gesamten Körper. Daher sollte eine rechtzeitige Behandlung erfolgen, damit er keinen weiteren Schaden anrichtet.
Schwarzer Zahnstein und wie du ihn behandeln kannst
Wir haben bereits erwähnt, dass schwarzer Zahnstein nur durch einen Zahnarzt oder eine Zahnärztin entfernt werden kann. Bürsten und Zahnseide reichen nicht aus, um diese harten Ablagerungen von den Mundoberflächen zu entfernen.
Er/sie beurteilt zunächst die Situation, stellt fest, wo sich schwarzer Zahnstein befindet und diagnostiziert damit verbundenen Krankheiten. Auf dieser Grundlage erfolgt dann die Auswahl der am besten geeignete Methode.
Um schwarzen Zahnstein zu entfernen, greifen Zahnärzte in der Regel auf das so genannte Scaling und Root Planing zurück. Dabei handelt es sich um ein Verfahren zur Entfernung von bakteriellem Zahnbelag, Zahnstein und Pigmentierungen, die sich auf den Zahnoberflächen und in den Zahnfleischtaschen abgelagert haben.
Bei diesem Eingriff werden manuelle Werkzeuge, sogenannte Küretten, mit Ultraschallinstrumenten kombiniert. Letztere erzeugen Mikrovibrationen, die die Kristalle des mineralisierten Zahnbelags brechen.
Wenn sich schwarzer Zahnstein in den Zahnfleischtaschen angesammelt hat und in Kontakt mit dem Zahnfleisch und den Zahnwurzeln steht, ist eine örtliche Betäubung notwendig, um Schmerzen während der Behandlung zu vermeiden. Der Zahnarzt führt dann eine Zahnkürettage durch.
Bei diesem Verfahren werden die Zahnwurzeln abgeschliffen, poliert und geglättet. Zahnstein und subgingivale bakterielle Beläge werden entfernt und entzündliches Gewebe im Inneren des Zahnfleisches wird beseitigt.
Anschließend wird der äußere Bereich der Zähne mit rotierenden Instrumenten gereinigt, um Unreinheiten, Pigmente und Unregelmäßigkeiten zu entfernen. Dies hinterlässt eine glatte Oberfläche, die das Festhalten von bakteriellem Zahnbelag und das Wiederauftreten des Problems verhindert.
Je nach Menge des angesammelten schwarzen Zahnsteins und dem Zustand des parodontalen Gewebes können eine oder mehrere Sitzungen zur Zahnsteinentfernung und Wurzelglättung notwendig sein. In schwereren Fällen kann die Kombination mit parodontalchirurgischen Eingriffen sinnvoll sein.
Die Ergebnisse
Durch diese Verfahren zur Entfernung von schwarzem Zahnstein kann das Lächeln einer Person wieder schön und angenehm aussehen. Außerdem können sich das Zahnfleisch und das parodontale Gewebe erholen.
Sobald der gesamte schwarze Zahnstein aus dem Mund entfernt wurde, weist der Zahnarzt den Patienten auf einige Hygienemaßnahmen hin, die er zu Hause durchführen sollte. Wenn es der Fall erfordert, wird der Zahnarzt außerdem Antibiotika, Antiseptika und Entzündungshemmer verschreiben, um den Heilungsverlauf zu verbessern.
Darüber hinaus ist es erforderlich, den Zustand des Mundes nach einiger Zeit neu zu beurteilen und Erhaltungsbehandlungen durchzuführen. Manche Menschen haben eine stärkere Neigung zur Bildung von Zahnstein.
Dieser Artikel könnte dich ebenfalls interessieren: Zähneputzen: Wann ist der beste Zeitpunkt dafür?
Schwarzer Zahnstein: Vorbeugung ist die beste Therapie
Wie das Sprichwort sagt: “Vorbeugen ist besser als heilen.” Obwohl schwarzer Zahnstein mit einer einfachen Behandlung wie Zahnsteinentfernung und Wurzelglättung entfernt und behandelt werden kann, solltest du diese Situation im Idealfall von vornherein vermeiden.
Ziel ist es, die Dauerhaftigkeit der bakteriellen Plaque auf den Mundflächen zu reduzieren. Ohne Plaque, die verkalken kann, entsteht auch kein Zahnstein.
Richtige Mundhygiene
Richtige Mundhygiene ist wichtig, um die Bildung von schwarzem Zahnstein zu verhindern. Der Schlüssel dazu ist richtiges und häufiges Putzen von Zähnen und Zahnfleisch. Nur so kannst du den bakteriellen Zahnbelag, der sich bildet, entfernen.
Es ist notwendig, alle Bereiche im Mund und auch den Bereich, in dem die Zähne auf das Zahnfleisch treffen, zu putzen. Vergiss am Ende der Reinigung nicht, auch deine Zunge zu putzen.
Dies sollte mit einer Bürste mit weichen Borsten und fluoridhaltiger Zahnpasta geschehen. Darüber hinaus gibt es auch einige speziell für die Zahnsteinbekämpfung konzipierte Zahnpastasorten. Wenn sich bei dir leicht und viel Zahnstein bildet, kann dir dein Zahnarzt oder deine Zahnärztin ein passendes Produkt empfehlen.
Die Reinigung sollte mindestens zwei Minuten dauern. Das sollte zwei- bis dreimal am Tag oder nach jeder Mahlzeit geschehen.
Außerdem ist es notwendig, einmal am Tag Zahnseide zu benutzen. Auf diese Weise lassen sich die Bereiche zwischen den Zähnen reinigen, die die Zahnbürste nicht erreicht. Zahnspülungen und Interdentalbürsten können ebenfalls sehr hilfreich sein.
Außerdem kann dir dein/e Zahnarzt/ärztin die Verwendung von Mundspülungen empfehlen. Diese speziellen Flüssigkeiten mit Antiseptika oder Fluorid helfen dabei, die Plaquebildung einzudämmen, Zahnstein zu verhindern und die Hygieneroutine zu vervollständigen.
Schwarzer Zahnstein: Achte auf deine Ernährung
Bakterien, die Plaque bilden, nutzen die Zucker und Kohlenhydrate in unserer Ernährung, um zu wachsen und sich zu vermehren. Wenn wir auf die Art der Nahrung achten, die wir zu uns nehmen, können wir die schädlichen Bakterien unter Kontrolle halten.
Daher empfiehlt es sich, den Verzehr von Lebensmitteln, die die Vermehrung von Bakterien begünstigen, zu vermeiden oder zumindest zu reduzieren. Snacks, Süßigkeiten, Bonbons, Limonaden und extrem verarbeitete Lebensmittel sind einige Beispiele dafür.

Vermeide das Rauchen
Rauchen erhöht neben vielen anderen schädlichen Auswirkungen die Wahrscheinlichkeit für die Bildung von schwarzem Zahnstein.
Mundtrockenheit und vermehrter bakterieller Zahnbelag sind weit verbreitete Probleme bei Rauchern. Die Bildung und Anhäufung von schwarzem Zahnstein ist eine häufige Folge davon. Die Pigmente aus den in Zigaretten enthaltenen Chemikalien lassen den Zahnstein schneller dunkel werden.
Schwarzer Zahnstein: Verhindere Mundtrockenheit
Speichel ist eine sehr wichtige Flüssigkeit zur Erhaltung der Mundgesundheit. Er hilft, die Zahnoberflächen zu reinigen, das Wachstum von Bakterien zu begrenzen und die von ihnen produzierten Säuren zu neutralisieren.
Alterung, die Einnahme einiger Medikamente wie Beruhigungsmittel, Antidepressiva, Blutdrucksenker und onkologische Therapien können jedoch Mundtrockenheit verursachen. Xerostomie kann auch durch den häufigen Konsum von alkoholischen Getränken oder durch Rauchen verursacht werden.
Viel Wasser trinken, hydratisiert bleiben und Kaugummi kauen sind Alternativen, die den Auswirkungen dieses Problems entgegenwirken können. Wenn möglich, ist auch der Wechsel von Medikamenten, die Mundtrockenheit verursachen, eine gute Strategie.
Das könnte dich ebenfalls interessieren: Mundtrockenheit durch Diabetes: Was du darüber wissen solltest
Gehe regelmäßig zum Zahnarzt
Regelmäßige Zahnarztbesuche alle sechs Monate helfen, Probleme im Mund rechtzeitig zu erkennen und zu behandeln. Wenn dann Zahnstein auftritt, kann er sofort entfernt werden, bevor er sich weiter aufbaut und unerwünschte Folgen hat.
Ratschläge zur Zahnputztechnik und Empfehlungen zur Verwendung bestimmter Zahnpflegeprodukte sind in der Zahnarztpraxis üblich. Der Zahnarzt/die Zahnärztin klärt den Patienten/die Patientin auch darüber auf, wie er/sie seinen/ihren Mund pflegen und gesund erhalten kann.
Professionelle Zahnreinigungen spielen auch eine sehr wichtige Rolle bei der Kontrolle von bakteriellem Zahnbelag. Sie ermöglichen die frühzeitige Entfernung von Plaqueablagerungen, Zahnstein und Pigmenten, die sich bilden und die die Zahnbürste nicht erreichen kann.
Schwarzer Zahnstein: Darum solltest du ihn verhindern!
Zähne, die von dunklen Ablagerungen bedeckt sind, machen nicht gerade den besten ersten Eindruck. Aber wie wir dir schon gesagt haben, beeinträchtigt schwarzer Zahnstein nicht nur die Ästhetik und das Aussehen des Mundes. Er begünstigt auch andere Krankheiten.
Wenn schwarzer Zahnstein auftritt, ist eine Zahnbehandlung notwendig. Und selbst wenn es sich um einen einfachen Eingriff handelt, ist es immer besser, ihn zu vermeiden. Eine gute Mundpflege beugt schwarzem Zahnstein vor und verbessert das Aussehen und die Gesundheit deines Lächelns.
Alle zitierten Quellen wurden von unserem Team gründlich geprüft, um deren Qualität, Verlässlichkeit, Aktualität und Gültigkeit zu gewährleisten. Die Bibliographie dieses Artikels wurde als zuverlässig und akademisch oder wissenschaftlich präzise angesehen.
- Baux Jiménez, G. (2008). Incidencia del cálculo dental en piezas del maxilar superior (Doctoral dissertation, Universidad de Guayaquil. Facultad Piloto de Odontología. Escuela de Postgrado” Dr. José Apolo Pineda”).
- Rivas Almonte, U. O. (2004). Dosaje de calcio y fósforo en saliva estimulada en relación al cálculo supragingival, en personas sanas.
- Caballero, A., Ricaurte, M., & Conrado, C. (2011). Cálculo dental: una revisión de literatura y presentación de una condición inusual. Acta odontológica venezolana, 49(3).
- Chaguay Alvarado, J. S. (2021). El tabaquismo y sus consecuencias en la cavidad bucal (Bachelor’s thesis, Universidad de Guayaquil. Facultad Piloto de Odontología).
- ANATOMOFISIOMICROBIOLÓGICOS, A. C. Y. (2006). El surco gingival Aspectos clínicos y anatomofisiomicrobiológicos. Odous Científica, 7(2).
- Pérez, A. J. S. (2008). Gingivectomia y curetaje gingival. Labor dental clínica: Avances clínicos en odontoestomatología, 9(1), 24-28.
- Mosquera Tacuri, M. J. (2019). Tratamiento de bolsas periodontales con raspado y alisado radicular campo abierto (Bachelor’s thesis, Universidad de Guayaquil. Facultad Piloto de Odontología).
- Rodríguez, J. A. L., Casana, S. T. V., & Alejandro, M. G. P. (2020). Efectividad de la clorhexidina y aceites esenciales asociados al raspado y alisado radicular en el tratamiento de periodontitis crónica. Ciencias de la salud, 18(3), 3.
- Bernardo Ricardo, P. B., Clara, O. M., & Walkyria del Carmen, G. R. (2021, March). Efectividad de antimicrobianos como coadyuvantes del raspado y alisado radicular en la periodontitis del adulto. In EMPREFARMA PINAR 2021.
- Badal, C. F. (2014). Evaluación de la capacidad de un nuevo colutorio de inhibir la formación del cálculo dental supragingival (Doctoral dissertation, Universitat de València).
- Llena, C., Forner, L., & Vento, C. (2009). Anticalculus efficacy of a new dentifrice. Quintessence International, 40(6).
Dieser Text dient nur zu Informationszwecken und ersetzt nicht die Beratung durch einen Fachmann. Bei Zweifeln konsultieren Sie Ihren Spezialisten.







