Wissenswertes über das Hypophysenadenom

Als Hypophysenadenom wird ein gutartiger Tumor bezeichnet, der sich langsam entwickelt und in den Zellen der Hypophyse (Hirnanhangdrüse) entsteht. Diese Drüse reguliert andere Drüsen und ist deshalb von großer Wichtigkeit.
Hypophysenadenome stellen eine relativ häufige Krankheit dar, die sich bei ungefähr einem von 1000 Erwachsenen entwickelt. Im Allgemeinen verläuft dieser Tumor gutartig und langsam. Bösartige Tumore der Hypophyse sind nur sehr selten.
Diese Tumorart tritt bei Frauen und Männern in gleichen Maßen auf. Sie entwickelt sich besonders häufig zwischen einem Alter von 30 und 40 Jahren.
Die Ursachen sind noch nicht ausreichend erforscht, doch in manchen Fällen scheint es einen Zusammenhang mit einer genetisch bedingten Krankheit zu geben, die als Multiple endokrine Neoplasie bezeichnet wird.
Hypophysenadenom: Symptome

Ein Hypophysenadenom kann unterschiedliche Drüsenzellen beeinträchtigen, die für die Produktion verschiedener Hormone zuständig sind. Dadurch kann es zu einer Überproduktion des betreffenden Hormons (oder mehrerer Hormone) kommen. Durch die Beeinträchtigung des endokrinen Systems können folgende Beschwerden auftreten:
- Hyperthyreose: Die Schilddrüse produziert zu viele Hormone. Allerdings kommt es zu einer Schilddrüsenüberfunktion bei einem Hypophysenadenom nur sehr selten.
- Cushing-Syndrom: In diesem Fall ist der Cortisolspiegel zu hoch.
- Akromegalie: Es ist ein Überschuss an Wachstumshormonen bei Kindern vorhanden, was zu Gigantismus oder hypophysärem Riesenwuchs führt.
- Milchproduktion und -ausfluss bei Frauen und bei Männern
- Unregelmäßige Menstruation durch die Beeinträchtigung der Sexualhormone.
Sollte der Hypophysentumor auf Gehirnstrukturen Druck ausüben, können auch folgende Symptome auftreten:
- Sehbeeinträchtigungen wie doppelte Sicht, Einschränkung des Sichtfeldes, hängende Augenlider oder verändertes Farbensehen
- Kopfschmerzen
- Müdigkeit und Schläfrigkeit
- Nasenrinnen (transparente Flüssigkeit)
- Übelkeit und Brechreiz
- Probleme mit dem Geruchsinn
Wenn diese Symptome plötzlich und gleichzeitig auftreten, kann es sich um eine ernste Situation handeln. Es könnte zu einem Infarkt der Hypophyse kommen.
Wir empfehlen dir, auch diesen Artikel zu lesen: 7 Gewohnheiten, die der Gesundheit deiner Schilddrüse schaden
Verschiedene Arten von Adenomen
Hypophysenadenome können je nach Größe wie folgt klassifiziert werden:
- Mikroadenom: kleiner als 1 cm
- Makroadenom: größer als 1 cm. Diese Art von Adenom führt in den meisten Fällen zu einem Defizit eines oder mehrerer Hypophysenhormone.
Außerdem können Hypophysenadenome hormoninkativ oder hormonaktiv (Prolaktinome, ACTH-, FSH-produzierende Tumore usw.) sein. Wenn sie selbst Hormone ausschütten, sind sie funktionell, ansonsten sind sie nicht funktionell.
Hypophysenadenom: Symptome

Für die Diagnose ist eine physische Untersuchung notwendig, mit der der Arzt Probleme wie Doppelsicht und das Sichtfeld überprüft. Außerdem untersucht er den Verlust der seitlichen oder peripheren Sehfähigkeit und die Fähigkeit, in bestimmten Bereichen zu sehen.
Danach wird die endokrine Funktion untersucht, um herauszufinden, ob ein bestimmter Hormonkreislauf beeinträchtigt ist. Zu diesem Zwecke werden Parameter wie Cortisolspiegel, Cushing-Syndrom oder der Wachstumshormonspiegel überprüft.
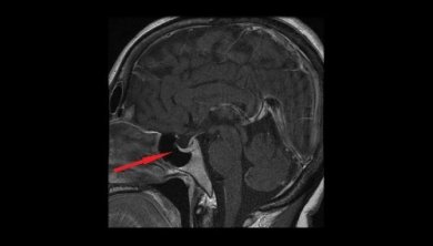
Die wichtigsten Untersuchungen, die es ermöglichen, die Diagnose zu bestätigen, sind die Sichtfeldüberprüfung sowie eine Magnetresonanz und eine Computertomographie, um Bilder vom Kopf zu machen.
Entdecke auch diesen Beitrag: Behandlung von Systemischem Lupus Erythematodes (SLE)
Hypophysenadenom: Behandlung
In der Regel wird dieser gutartige Tumor wie folgt therapiert:
- Pharmakologische Behandlung und Hormontherapie: Medikamente, welche die Hormonausschüttung blockieren, können die Symptome lindern und zum Teil auch den Tumor reduzieren.
- Strahlentherapie: Diese wird verwendet, um die Größe des Tumors zu reduzieren.
- Chirurgische Entfernung des Hypophysenadenoms: Meist erfolgt der Zugang transnasal und transspenoidal, um den Tumor operativ zu entfernen. In manchen Fällen kann jedoch auch eine Kraniotomie (neurochirurgische Eröffnung des Schädels) erforderlich sein.
Eine operative Entfernung mit transnasalem Zugang erfolgt durch ein Endoskop, das in die Nase eingeführt und dann bis zur Fissura orbitalis superior geführt wird. Diese Öffnung wird erweitert, um bis zur Sella turcica (in der mittleren Schädelgrube) vorzudringen und danach den Tumor zu entfernen.
Die schlimmste Komplikation könnte zu Blindheit führen. Dies ist der Fall, wenn der Sehnerv bei der Operation stark geschädigt wird. Außerdem kann der Tumor oder seine Entfernung lebenslang zur Beeinträchtigung des Hormonhaushalts führen und Diabetes insipidus auslösen. Dadurch kommt es zu häufigem Harndrang und sehr starkem Durst.
Alle zitierten Quellen wurden von unserem Team gründlich geprüft, um deren Qualität, Verlässlichkeit, Aktualität und Gültigkeit zu gewährleisten. Die Bibliographie dieses Artikels wurde als zuverlässig und akademisch oder wissenschaftlich präzise angesehen.
-
Jaime, M. de, López, F., & Cabrera, G. (2003). Patología de los adenomas hipofisarios. Patología.
-
Betanzos, R. R., Gerardo, E., Pérez, D., Apolonia, S., Montaño, A., Sánchez, V., … Mendoza, C. (2009). Artículo de revisión Acromegalia. Mcm.
-
CARNEIRO, C. C., MENDES, B. B., & BASTOS, L. G. (2015). ADENOMA HIPOFISÁRIO: CORRELAÇÃO CLÍNICA, LABORATORIAL E RADIOLÓGICA. REVISTA DA UNIVERSIDADE VALE DO RIO VERDE. https://doi.org/10.5892/ruvrd.v13i1.1979
Dieser Text dient nur zu Informationszwecken und ersetzt nicht die Beratung durch einen Fachmann. Bei Zweifeln konsultieren Sie Ihren Spezialisten.







