Weiße Flecken auf den Zähnen: Warum treten sie auf?


Geschrieben und geprüft von der Zahnärztin Vanesa Evangelina Buffa
Weiße Flecken auf den Zähnen können aus verschiedenen Gründen auftreten und mit unterschiedlichen Faktoren zusammenhängen. Für die Betroffenen stellen sie ein ästhetisches Problem dar. Sie können aber auch auf eine Grunderkrankung hinweisen.
In einigen Fällen sind sie ein Zeichen für mangelnde Zahnhygiene, für die Ansammlung von bakteriellem Zahnbelag und für den Mineralverlust der Zähne. In anderen Fällen können sie jedoch auch auf andere Ursachen zurückzuführen sein, die wir in diesem Artikel untersuchen werden.
Wenn man weiß, woher die weißen Flecken auf den Zähnen kommen, kann man entscheiden, welche Behandlung notwendig ist. In den meisten Fällen gibt es eine ziemlich einfache Lösung und die Person kann wieder ein schönes Lächeln zeigen. Lies weiter, um mehr über weiße Flecken auf den Zähnen zu erfahren.
Was sind weiße Flecken auf den Zähnen?
Weiße Flecken auf den Zähnen sind Verfärbungen auf der Oberfläche des Zahnschmelzes. Sie sind sichtbar als Bereiche mit einem trockenen, stumpfen weißen Aussehen sichtbar, das im Kontrast zum normalen hellen gelblichen oder gräulichen Weiß des Zahns steht.
Weiße Flecken auf den Zähnen sind relativ häufig, und ihr Auftreten hängt mit mehreren Faktoren zusammen. Mangelnde Zahnhygiene ist die häufigste Ursache. Übermäßiger Verzehr von zuckerhaltigen Nahrungsmitteln, das Auftreten von Karies, Hypoplasie und Fluorose können weitere Ursachen sein.
Diese Flecken können sowohl bei Kindern als auch bei Erwachsenen und sowohl an temporären als auch an permanenten Zähnen auftreten. Ihr Aussehen ist nicht nur ein gesundheitliches, sondern auch ein ästhetisches Problem. Manchmal führen sie bei den Betroffenen zu Unsicherheit und geringem Selbstwertgefühl, so dass sie wegen des Aussehens ihrer Zähne versuchen, ihr Lächeln zu verbergen.
Wenn die Ursache der weißen Flecken auf den Zähnen geklärt werden kann, ist es möglich, eine geeignete Behandlung “ins Visier zu nehmen”. Außerdem können die notwendigen Maßnahmen ergriffen werden, um das Auftreten neuer Verfärbungen zu verhindern. Am besten ist es, einen Zahnarzt oder eine Zahnärztin aufzusuchen, sobald man eine Veränderung der Zahnfarbe feststellt.
Auch interessant für dich Zahnfissuren: Ursachen und Behandlung
Weiße Flecken auf den Zähnen und ihr Zusammenhang mit Munderkrankungen
Wie bereits erwähnt, können weiße Flecken auf den Zähnen verschiedene Ursachen haben. Einige hängen mit der Zeit im Mutterleib zusammen, während der sich die Zähne bilden, andere mit äußeren Umständen, die zu Mundkrankheiten führen, die sich durch besagte Flecken bemerkbar machen.

1. Zahnhypoplasien
Dieser Zustand entsteht durch eine mangelhafte und unzureichende Mineralisierung im Prozess der Bildung des Zahnhartgewebes. Es handelt sich um eine Veränderung, die während der Entwicklung der Zähne auftritt – also im Mutterleib oder in den ersten Lebensjahren.
Es gibt verschiedene Ursachen, die zu einer Zahnhypoplasie führen können:
- Probleme während der Schwangerschaft: Bestimmte Probleme während der Schwangerschaft, wenn sich die zukünftigen Zähne des Babys bilden, können ihre Mineralisierung verändern und eine Hypoplasie verursachen. Hohes Fieber, Infektionen, Erkrankungen der Mutter, Ernährungsmängel oder die Einnahme bestimmter Medikamente während der Schwangerschaft können zu diesem Zustand führen.
 - Probleme in der frühen Kindheit: Bestimmte Krankheiten in den ersten Lebensjahren, wenn sich die Zähne noch bilden, können ebenfalls Hypoplasien verursachen. Frühgeburten, niedriges Geburtsgewicht, Infektionen, hohes Fieber, systemische Erkrankungen, Unterernährung und Vitaminmangel sind einige Beispiele, die die Mineralisierung der Zähne beeinträchtigen können.
 - Trauma: Ein Schlag auf einen Milchzahn kann den Keim des bleibenden Zahns verletzen, der sich aus der Wurzel im Knochen entwickelt. Die Folge ist eine Hypoplasie des bleibenden Zahns.
 
Hat dir dieser Artikel gefallen? Vielleicht möchtest du auch diesen lesen Schwarze Flecken auf dem Zahnfleisch: Ursachen und Behandlungen
2. Weiße Flecken auf den Zähnen durch Fluorose
Dentalfluorose ist eine Erkrankung, die durch übermäßigen Fluoridkonsum während der Zahnbildung verursacht wird. Die Überschreitung der empfohlenen Tagesdosis dieses Spurenelements während der Zahnentwicklung ist die Ursache des Problems.
In einigen Regionen der Welt enthält das Trinkwasser hohe Mengen dieses Mineralstoffs, dessen Aufnahme während der Zahnentwicklung zu Fluorose führen kann. Auch die Einnahme von Fluoridpräparaten, wenn dies nicht notwendig ist, oder die Aufnahme von Fluorid in hohen Konzentrationen in der Zahnpasta kann die Ursache sein.
Fluorose äußert sich durch weiße Flecken auf der Zahnoberfläche. Diese weißen Flecken betreffen in der Regel mehrere betroffene Zähne und haben meist eine charakteristische Streifenform. In schwereren Fällen ist die Verfärbung eher bräunlich und auch auf den Zahnkronen sind Unebenheiten wie Rauheiten und Unebenheiten zu beobachten.
3. Zahnkaries
Eine der häufigsten Ursachen für weiße Flecken auf den Zähnen ist Karies. Diese Erkrankung äußert sich durch eine stumpfe, glanzlose und trockene weißliche Verfärbung der Zähne.
Dieser Zustand wird durch den Verlust von Mineralien aus dem Zahnschmelz der Zahnkrone verursacht. Dies geschieht unter dem Einfluss von Säuren, die von Bakterien produziert werden, die Kohlenhydrate aus der Nahrung vergären.
Daher wird diese Art der Zahnverfärbung mit schlechter Zahnhygiene und einer kohlenhydratreichen Ernährung, insbesondere mit zuckerhaltigen Lebensmitteln, in Verbindung gebracht. Dies begünstigt die Bildung und Ansammlung von bakteriellem Zahnbelag, der zu Karies führt.
Diese Erkrankung bleibt von den Patient:innen in der Regel unbemerkt, weshalb regelmäßige zahnärztliche Kontrolluntersuchungen unerlässlich sind. Dieses frühe Stadium der Erkrankung ist reversibel, und durch die Anwendung von therapeutischem Fluorid kann der Zahn wieder gesunden.
Mehr zum Thema 6 natürliche Mittel zur Vorbeugung von Karies
4. Entkalkung der Zähne
Es gibt lokal begrenzte Stellen mit Kalziumverlust und Kalziummangel, die sich als weiße Flecken auf den Zähnen zeigen. Diese können durch verschiedene Ursachen haben:
- Zahnerosion: Wenn die Zahnoberfläche häufig der Einwirkung von Säuren, Limonaden, Softdrinks, Zitronensäure oder Essigarten ausgesetzt ist, wird der Zahnschmelz angegriffen. Auch ein saurer Reflux kann die Zahnoberfläche verändern.
 - Sehr traumatisierende Zahnpflegepraktiken: Zu schnelles Zähneputzen mit zu viel Druck oder die häufige Verwendung von sehr harten Zahnbürsten können den Zahnschmelz beschädigen.
 - Ernährungsmängel: Ein Mangel an ausreichenden Nährstoffen und eine dauerhafte Übersäuerung des Mundmilieus begünstigen den Verlust von Mineralien aus den Zähnen.
 - Mundtrockenheit: Ein Mangel an Speichel begünstigt den Verlust von Mineralien aus den Zähnen.
 
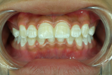
5. Weiße Flecken durch kieferorthopädische Behandlung
Es gibt einen Zusammenhang zwischen kieferorthopädischer Behandlung mit Zahnspangen und weißen Flecken auf den Zähnen. Es ist jedoch nicht die Zahnspange, die diese Defekte an den Zähnen verursacht, sondern die Schwierigkeit, die richtige Zahnhygiene aufrechtzuerhalten.
Wenn nicht alle Bereiche des Mundes richtig desinfiziert werden, sammelt sich Plaque um die Zahnspange herum und unter den Bändern an. Dies führt zu einer Demineralisierung des Zahnschmelzes, was sich durch weiße Flecken auf den Zähnen bemerkbar macht. Diese Flecken werden in der Regel sichtbar, wenn die Zahnspange herausgenommen wird, und sollten dann behandelt werden.
Wir denken, dass dich das hier auch interessieren könnte Bambuszahnbürsten versus Kunststoffzahnbürsten: Die Vor- und Nachteile
Wie kann man weiße Flecken auf den Zähnen entfernen?
Wie bereits erwähnt, sollte zunächst die Ursache der weißen Flecken auf den Zähnen festgestellt werden, um entscheiden zu können, mit welcher Behandlung sie entfernt werden können. Ein Besuch beim Zahnarzt oder bei der Zahnärztin ermöglicht eine genaue Diagnose und die Planung einer geeigneten Behandlung. Der Zahnarzt oder die Zahnärztin kann dir dann eine der folgenden Behandlungen empfehlen.
1. Therapeutisches Fluorid
Fluorid wird verwendet, um weiße Flecken zu behandeln, die durch Entkalkung und die ersten Stadien von Karies verursacht werden. Durch die lokale Anwendung des Elements auf den Zähnen können diese remineralisiert werden.
Die Behandlung wird in der Zahnarztpraxis durchgeführt, indem das Fluorid auf die Zahnoberfläche aufgetragen wird. Dort wirkt es während einer bestimmten Zeitspanne ein. Es wird in Form von Gelen, Lacken oder Schäumen angeboten, die eine hohe Konzentration des Spurenelements enthalten.
Nach dem Auftragen weist der Zahnarzt oder die Zahnärztin den Patienten oder die Patientin an, einige Stunden nicht zu essen, zu trinken oder den Mund zu spülen. Der Zahnarzt oder die Zahnärztin gibt auch an, wie oft die Anwendung wiederholt werden sollte, um den Zustand zu verbessern.
2. Zahnärztliche Mikroabrasion
Diese Behandlung eignet sich zur Behandlung oberflächlicher weißer Flecken. Dabei wird der betroffene Bereich des Zahnes mit rotierenden Instrumenten oder speziellen Säuren abgeschliffen. Anschließend wird der betroffene Teil des Zahnes mit einer Füllung in der Farbe des Zahnes aufgefüllt.
3. Füllungen
Eine weitere Möglichkeit, Verfärbungen zu entfernen, ist das Einsetzen von Füllungen. Diese werden bei größeren und tieferen Verfärbungen eingesetzt.
In diesem Fall muss das betroffene Gewebe mit rotierenden Instrumenten entfernt werden und es bleibt ein Hohlraum zurück. Dieser wird mit zahnfarbenen Kompositen gefüllt, die mit speziellen Adhäsivsystemen verklebt werden.
Das verwendete Material hat eine kittartige Konsistenz, die es dem Zahnarzt/der Zahnärztin ermöglicht, das Material zu formen und ihm das gewünschte Aussehen zu geben. Anschließend wird das Material mit einem speziellen Licht ausgehärtet und die Füllung poliert, um ihr das endgültige Aussehen zu verleihen.
4. Veneers oder Kronen
Diese Optionen werden für die schwersten Fälle in Betracht gezogen, wenn große Bereiche betroffen sind und die Verfärbungen durch entwicklungsbedingte Probleme wie Hypoplasie und Fluorose verursacht wurden. Veneers oder Kronen ermöglichen es, Unvollkommenheiten zu verdecken und den Zähnen ein natürliches Aussehen zu verleihen.
Veneers zeichnen sich dadurch aus, dass sie auf der Vorderseite des Zahns angebracht werden. Zuvor muss der Zahn ein wenig abgeschliffen werden, um die Veneers zu befestigen. Sie bestehen aus Komposit oder Porzellan und können eine optimale Ästhetik erzielen.
Kronen hingegen bedecken den ganzen Zahn wie eine Kappe. Um sie anzubringen, muss der Zahn beschliffen werden, was eine größere Abrieb zur Folge hat.
Bei ihrer Gestaltung werden Form, Farbe und Größe des zu versorgenden Zahns berücksichtigt, sodass Veneers individuell angepasst werden können und in jedem Fall eine geeignete Lösung darstellen.
Mehr zum Thema Zahnzement: Alle Arten und Verwendungszwecke
5. Zahnaufhellung
Zahnaufhellung ist eine der wirksamsten Methoden, um ein weißeres Zahnbild und schöneres Lächeln zu bekommen. Diese Methode ist auch eine gute Möglichkeit, um weiße Flecken von den Zähnen zu entfernen, insbesondere wenn sie sich in der äußersten Schicht des Zahns befinden.
Diese zahnmedizinische Technik dient nicht nur der Verbesserung der Ästhetik, sondern ebnet auch den Zahnschmelz ein, was die Reinigung der Zähne und die Entfernung von Bakterien erleichtert. Es gibt verschiedene Methoden der Zahnaufhellung, daher ist es ratsam, einen Zahnarzt oder eine Zahnärztin zu konsultieren, um die für dich am besten geeignete Methode auszuwählen.
Mehr zum Thema LED-Zahnaufhellung: Vorteile, Nachteile und Pflegetipps

Weiße Flecken auf den Zähnen vermeiden
Einige weiße Flecken auf den Zähnen können nicht verhindert werden, aber die meisten lassen sich vermeiden, wenn man einige der folgenden Tipps befolgt:
- Angemessene Zahnhygiene: Die Vermeidung der Ansammlung von bakteriellem Zahnbelag verhindert den Verlust von Mineralien aus den Zähnen. Gründliches Zähneputzen dreimal täglich, die Verwendung von Zahnseide und fluoridhaltiger Zahnpasta sowie Mundspülungen sind unerlässlich. Patient:innen mit Zahnspangen sollten besonders auf eine gründliche Mundhygiene achten und immer versuchen, alle Bereiche der Mundhöhle zu erreichen.
 - Vermeiden von übermäßigem Fluoridkonsum: Die Kenntnis des Fluoridgehalts im Trinkwasser, der Verzicht auf Nahrungsergänzungsmittel, die den Mineralstoff ohne medizinische Indikation enthalten, und die Verwendung der richtigen Menge an Zahnpasta für jedes Alter können dazu beitragen, Fluorose bei Kindern zu vermeiden.
 - Gesunde Ernährung:Eine ausgewogene und nährstoffreiche Ernährung beugt einem Mineralstoffmangel vor, der zur Entkalkung der Zähne führen kann. Auch der Verzicht auf verarbeitete, säure- und zuckerhaltige Lebensmittel trägt dazu bei, das Risiko für weiße Flecken auf den Zähnen zu verringern.
 - Regelmäßige Besuche bei der Zahnärztin/dem Zahnarzt: Regelmäßige Zahnarztbesuche ermöglichen es dir, Probleme rechtzeitig zu erkennen und sie zu behandeln. Professionelle Zahnreinigung und zahnärztliche Beratung helfen, bakterielle Zahnbeläge unter Kontrolle zu halten und deine Mundgesundheit zu erhalten.
 
Achte auf dein Lächeln!
Weiße Flecken auf den Zähnen sind nicht nur ein Problem der Mundgesundheit. Sie beeinträchtigen auch das Aussehen einer Person, was zu Problemen mit dem Selbstwertgefühl und dem Selbstbild führen kann.
Glücklicherweise ist es möglich, weiße Flecken zu vermeiden oder zu behandeln und schöne Zähne zu haben, wenn man sie mit bestimmten Techniken versorgt. Mit der richtigen Zahnpflege und regelmäßigen Zahnarztbesuchen wird ein schönes Lächeln kein Problem mehr darstellen.
Alle zitierten Quellen wurden von unserem Team gründlich geprüft, um deren Qualität, Verlässlichkeit, Aktualität und Gültigkeit zu gewährleisten. Die Bibliographie dieses Artikels wurde als zuverlässig und akademisch oder wissenschaftlich präzise angesehen.
- Quiñones Ybarría, María Elena, et al. “Estado de salud bucal: su relación con el estado nutricional en niños de 2 a 5 años.” Revista Cubana de Estomatología 45.2 (2008): 0-0.
 - Giraldo Giraldo, Nubia Amparo, Alejandro Estrada Restrepo, and Andrés Alonso Agudelo Suárez. “Malnutrición y su relación con aspectos de salud en adultos mayores.” (2019).
 - Loyola-Rodríguez, J. P., et al. “Incidencia de lesión de mancha blanca en las clínicas de ortodoncia de la Universidad Michoacana en Morelia, Michoacán, México.” Actualidad Médica 803 (2018).
 - Da Silva, Claudia Ester, Julieta Galán, and Stella Maris González. “Etiología y diagnóstico diferencial de las lesiones de mancha blanca sobre la superficie adamantina.” III Jornadas de Actualización en Prácticas Odontológicas Integradas SEPOI-PPS (La Plata, 2018). 2018.
 - Narváez Santos, María José. Tratamiento de la mancha blanca del esmalte post tratamiento ortodóncico. BS thesis. Universidad de Guayaquil. Facultad Piloto de Odontología, 2021.
 - Garófalo León, Mirian Adela. “Prevalencia de mancha blanca en pacientes de 3 a 6 años Clínica Odontológica UCSG B 2017.” (2018).
 - Maldonado-Ramírez, M. A., et al. “Remineralización de caries de mancha blanca no cavitada: estudio in vitro.” Oral 20.64 (2019): 1766-1770.
 - Carrasco Morales, Maria Belén. Fluorosis dental infantil. BS thesis. Universidad de Guayaquil. Facultad Piloto de Odontología, 2021.
 - Lalama Pincay, Martha Elizabeth. Microabrasión adamantina con ácido clorhídrico y ácido fosfórico en tratamiento de fluorosis dental leve. BS thesis. Universidad de Guayaquil. Facultad Piloto de Odontología, 2018.
 - Poma Torres, Esthefania Mirella. Manejo y protocolo de atención de la hipoplasia en niños. BS thesis. Universidad de Guayaquil. Facultad Piloto de Odontología, 2021.
 - Montero Ronquillo, Mercedes María. Manchas blancas como primera manifestación en la Estructura dental en dentición temporaria. BS thesis. Universidad de Guayaquil. Facultad Piloto de Odontología, 2021.
 - Uzuriaga Bonifacio, Jossibel Dunea. “EFECTIVIDAD DEL FLUOR BARNIZ FRENTE AL FLUOR GEL NEUTRO PARA EL TRATAMIENTO DE MANCHAS BLANCAS DENTARIAS EN NIÑOS DE 5 A 6 AÑOS EN EL HOSPITAL II ESSALUD HUÀNUCO 2019.” (2021).
 - González, María Alejandra Romero, and Denisse Pilar Carmen Aguilar Gálvez. “Comparación de tres agentes remineralizantes utilizados en lesiones de manchas blancas en premolares medidos con fluorescencia láser: un estudio in vitro.” Revista Científica Odontológica 7.1 (2019): 66-77.
 
Dieser Text dient nur zu Informationszwecken und ersetzt nicht die Beratung durch einen Fachmann. Bei Zweifeln konsultieren Sie Ihren Spezialisten.







