Mit welchen Tests kann ein Perikarderguss erkannt werden?

Ein Perikarderguss ist ein Zustand, bei dem sich zwischen Herz und Perikard übermäßig viel Flüssigkeit ansammelt. Das Perikard ist der Beutel, der das Herz bedeckt, der Herzbeutel. Es wird vermutet, dass es zu einem Erguss kommt, wenn die Flüssigkeitsmenge 50 ml überschreitet. Wie aber kann ein solcher Perikarderguss erkannt werden?
Zwischen Herz und Perikard befindet sich immer eine dünne Flüssigkeitsschicht. Wenn du eine Krankheit oder Verletzung hast, kann sich diese entzünden. Dadurch wiederum erhöht sich die Flüssigkeitsmenge. Allerdings kann es manchmal auch zu einem Perikarderguss ohne vorherige Entzündung kommen.
Der Perikarderguss drückt auf das Herz und beeinträchtigt dessen Funktionsweise. Wenn er nicht behandelt wird, kann dies zu Herzversagen und zum Tod führen. In unserem heutigen Artikel sagen wir dir, welche Analysen und Testverfahren zur Erkennung eines solchen Ergusses eingesetzt werden.
Möglichkeiten, um einen Perikarderguss zu identifizieren
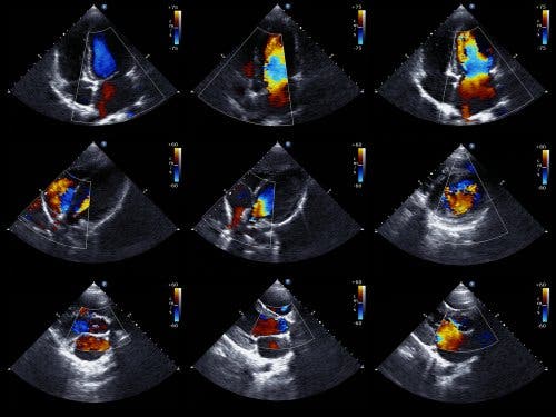
Echokardiogramm

Ein Echokardiogramm ist die bevorzugte Methode zum Nachweis eines Perikardergusses. Es wird auch Echokardiographie oder Herzultraschall genannt. Dies ist eine Untersuchung, mit der Ärzte die Struktur des Herzens sehen und überprüfen können, wie gut dessen Pumpleistung ist.
Mit dem Doppler-Echokardiogramm können Ärzte auch die genaue Geschwindigkeit des Blutflusses aus dem Herzen bestimmen. Aus technischer Sicht ist das zweidimensionale und M-Mode-Echokardiogramm die ideale Technik zur Diagnose, Quantifizierung und Überwachung des Perikardergusses.
Wenn zwischen dem Epikard und dem lateralen Perikard kein Echo auftritt, können Ärzte einen Perikarderguss diagnostizieren. Dann bestimmt der Kardiologe die Größe des Ergusses basierend auf dem Abstand zwischen den beiden Schichten des Perikards.
Darüber hinaus solltest du wissen, dass es grundsätzlich zwei Arten von Echokardiogrammen gibt. Einerseits gibt es den Transthorakus, bei dem ein Gerät auf der Brust über dem Herzen platziert wird, welches Schall erzeugt. Andererseits gibt es das transösophageale Echokardiogramm, bei dem das Gerät bis zur Speiseröhre in den Verdauungstrakt eingeführt wird. Letzteres liefert detailliertere Daten.
Erfahre mehr zu diesem Thema: Das akute Koronarsyndrom (ACS)
Elektrokardiogramm
Ein Elektrokardiogramm zeichnet die elektrische Aktivität des Herzens auf. Grundsätzlich können Ärzte den Rhythmus und die Herzfunktion bewerten. Ein Perikarderguss führt zu Änderungen in der Grafik. Allerdings sind diese jedoch nicht spezifisch.
Im Allgemeinen können Ärzte bestimmte Anomalien im QRS-Komplex beobachten. Dies ist ein Vektor, der die Summe aller elektrischen Entladungen widerspiegelt, die in den Zellen der Ventrikel auftreten. Normalerweise wird bei einem Perikarderguss eine Verringerung der QRS-Spannung festgestellt.
Ebenso lässt sich in diesen Fällen eine Abflachung der T-Wellen beobachten. Wenn der Perikarderguss sehr stark ist und eine Verstopfung vorliegt, werden elektrische Veränderungen sichtbar. Typischerweise erscheint die P-Welle breit und bimodal, was auf eine Abnormalität hindeutet.
Diesen Artikel solltest du ebenfalls lesen:
Ein Perikarderguss kann auch durch eine Röntgenaufnahme der Brust, CAT-Scan und MRT erkannt werden

Die Röntgenaufnahme des Brustkorbs ist ein Röntgenbild, mit dem Ärzte alle Organe im Brustbereich sehen können. Die Computertomographie oder ein CAT-Scan ist eine Methode, bei der ebenfalls Röntgenstrahlen verwendet werden. Sie liefert den Ärzten Querschnitt-Aufnahmen oder dreidimensionale Bilder.
Die Magnetresonanztomographie (MRT) ist eine Untersuchung, bei der Ärzte detaillierte zwei- oder dreidimensionale Bilder des Körperinneren erhalten. Sie liefert viel spezifischere Informationen als die des Röntgen- oder CAT-Scans.
Bei einem Perikarderguss kommt es zu einer Veränderung der Herzsilhouette, die durch einen oder alle dieser Tests festgestellt werden kann. Normalerweise vergrößert sich die Silhouette, wenn sich mehr als 250 ml Flüssigkeit im Perikardbeutel ansammeln.
Von einem Perikarderguss spricht man nur dann, wenn sich mehr als 50 ml Flüssigkeit angesammelt haben. Allerdings zeigt beispielsweise eine Röntgenaufnahme des Brustkorbs die vergrößerte Silhouette nicht, selbst wenn die Anomalie vorliegt. CAT-Scans und MRTs sind wesentlich aussagekräftiger.
Quantifizierung eines Perikardergusses
Es gibt keine allgemein anerkannten Kriterien zur Quantifizierung des Volumens eines Perikardergusses. Dies liegt daran, dass es bei allen Methoden gewisse Einschränkungen bei der Bestimmung der tatsächlichen Flüssigkeitsmenge im Perikardbeutel gibt.
Dennoch ist die am meisten akzeptierte Methode zur Quantifizierung die von Weitzman vorgeschlagene. Sie basiert auf der M-Mode-Echokardiographie. Er schlägt vor, die echofreien Räume im vorderen und hinteren Herzbeutel am Ende der Diastole hinzuzurechnen. Wenn die Summe 10 mm oder weniger beträgt, bezeichnet man dies als einen leichten Perikarderguß; bei einem mäßigen beträgt die Summe zwischen 10 und 19 mm und bei einem schweren sind es 20 mm oder mehr.
Darüber hinaus ist es wichtig, das Vorhandensein von Herztumoren und Perikardzysten auszuschließen, bevor die Diagnose gestellt wird. Außerdem sollten Ärzte sicherstellen, dass kein Pleuraerguss oder epikardiales Fett vorliegt.
Alle zitierten Quellen wurden von unserem Team gründlich geprüft, um deren Qualität, Verlässlichkeit, Aktualität und Gültigkeit zu gewährleisten. Die Bibliographie dieses Artikels wurde als zuverlässig und akademisch oder wissenschaftlich präzise angesehen.
- Martín-García, A. C., Peláez, E. D., Martín-García, A., & Sánchez, P. L. (2017). Derrame pericárdico. Taponamiento cardíaco. Medicine-Programa de Formación Médica Continuada Acreditado, 12(44), 2621-2628.
 - Sociedad Española de Imagen Cardíaca. Complejo QRS. https://ecocardio.com/documentos/biblioteca-preguntas-basicas/preguntas-al-cardiologo/1046-complejo-qrs.html
 - MedlinePlus. Ecocardiografía. https://medlineplus.gov/spanish/ency/article/003869.htm
 - MedlinePlus. Trastornos del pericardio. https://medlineplus.gov/spanish/pericardialdisorders.html
 - MedlinePlus. Electrocardiograma.https://medlineplus.gov/spanish/pruebas-de-laboratorio/electrocardiograma/
 - National Heart, Lung and Blood Institute. Radiografía de tórax. https://www.nhlbi.nih.gov/health-topics/espanol/radiografia-de-torax
 
Dieser Text dient nur zu Informationszwecken und ersetzt nicht die Beratung durch einen Fachmann. Bei Zweifeln konsultieren Sie Ihren Spezialisten.







